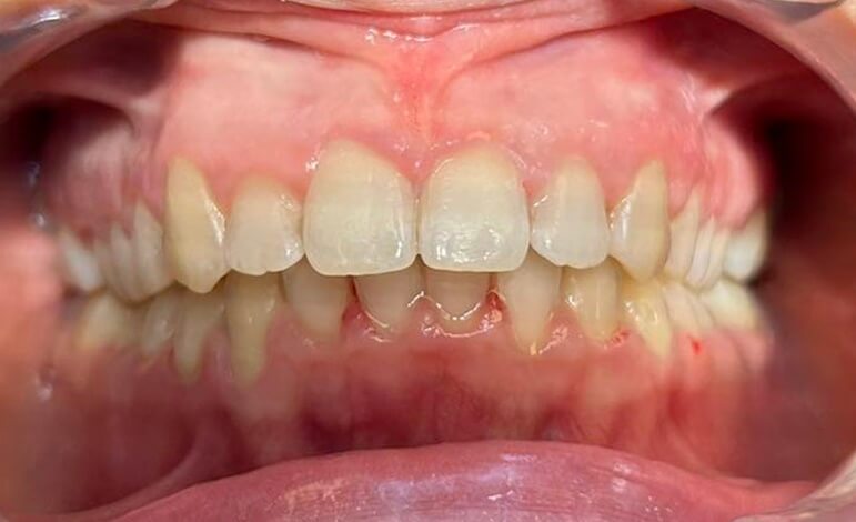
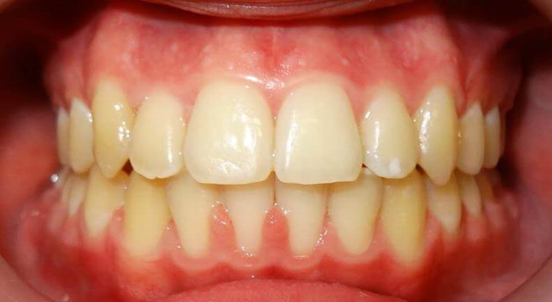
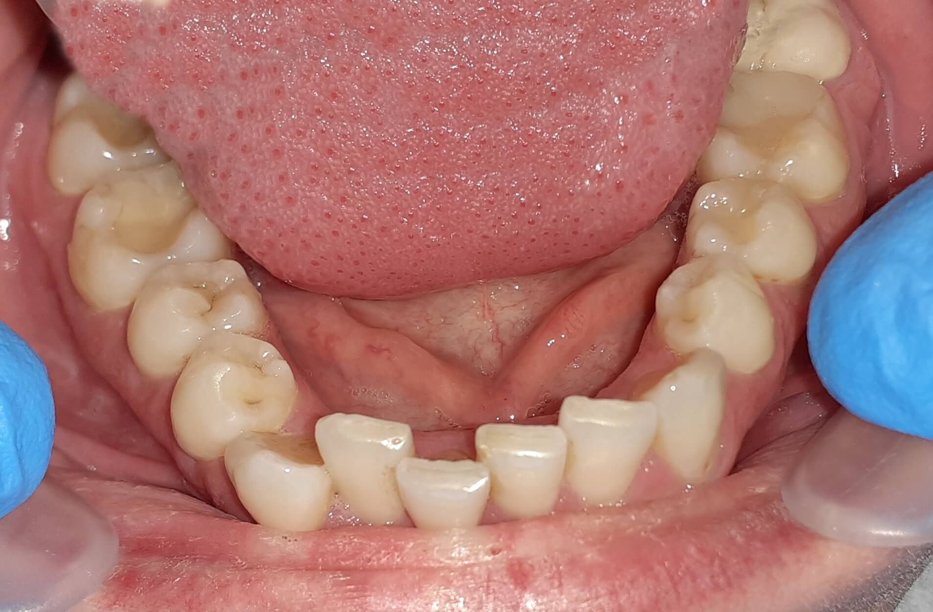
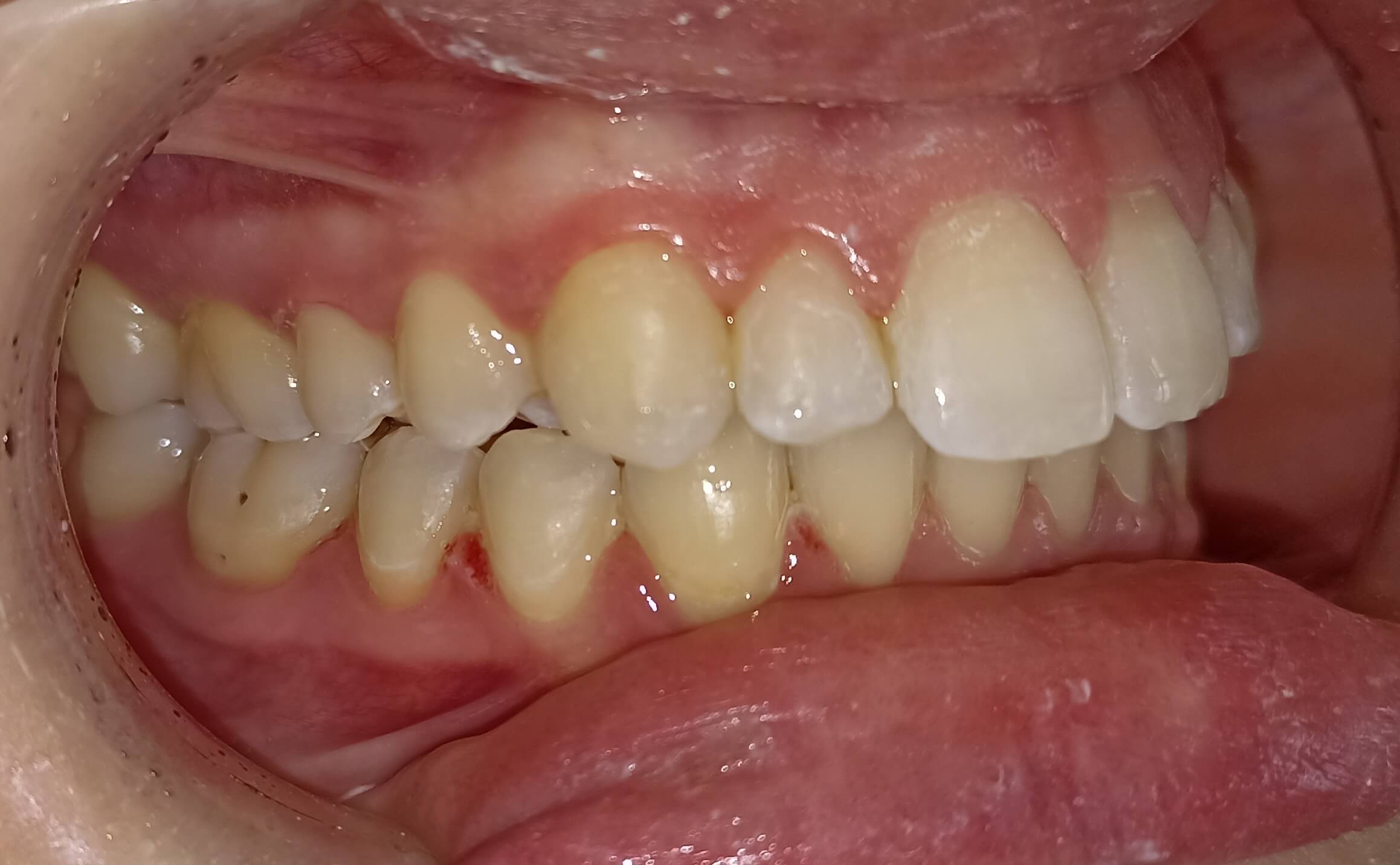
Munkám legjobb része, mikor a fogszabályozó eltávolítása után páciensem először meglátja ragyogó, új mosolyát.
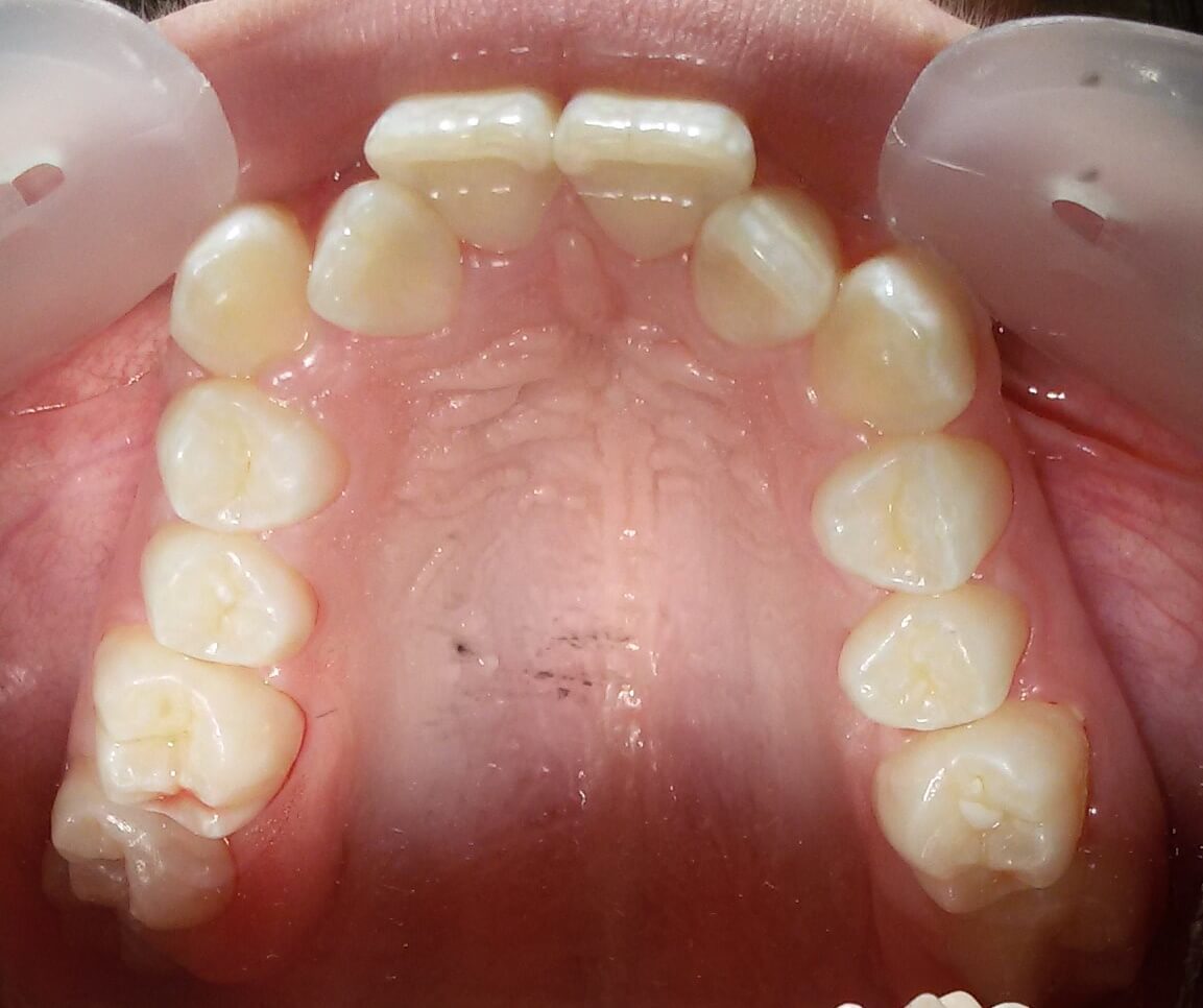
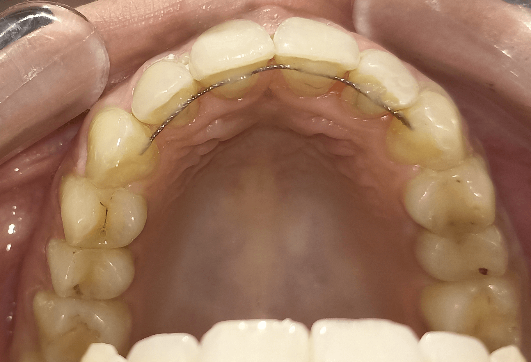
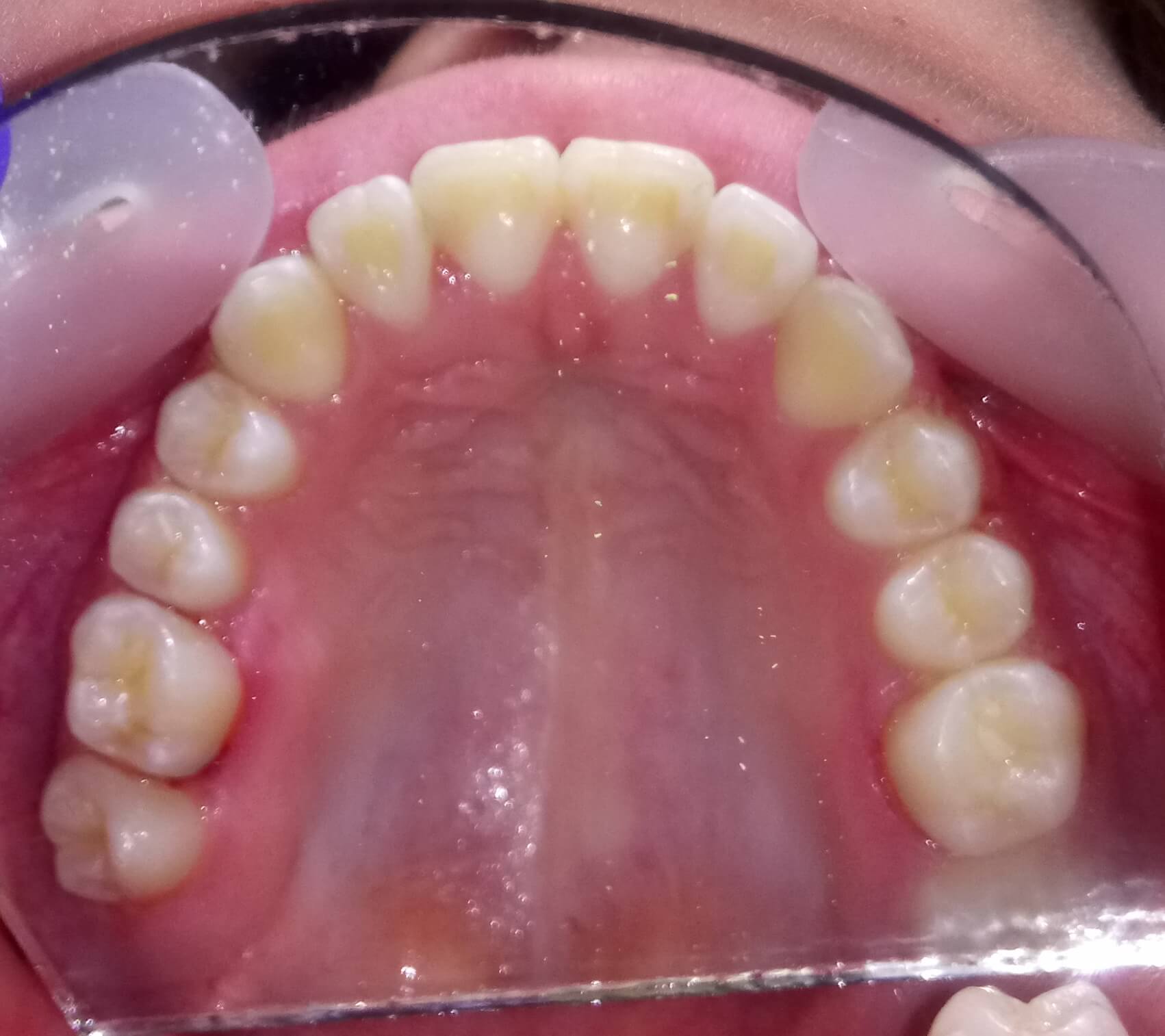
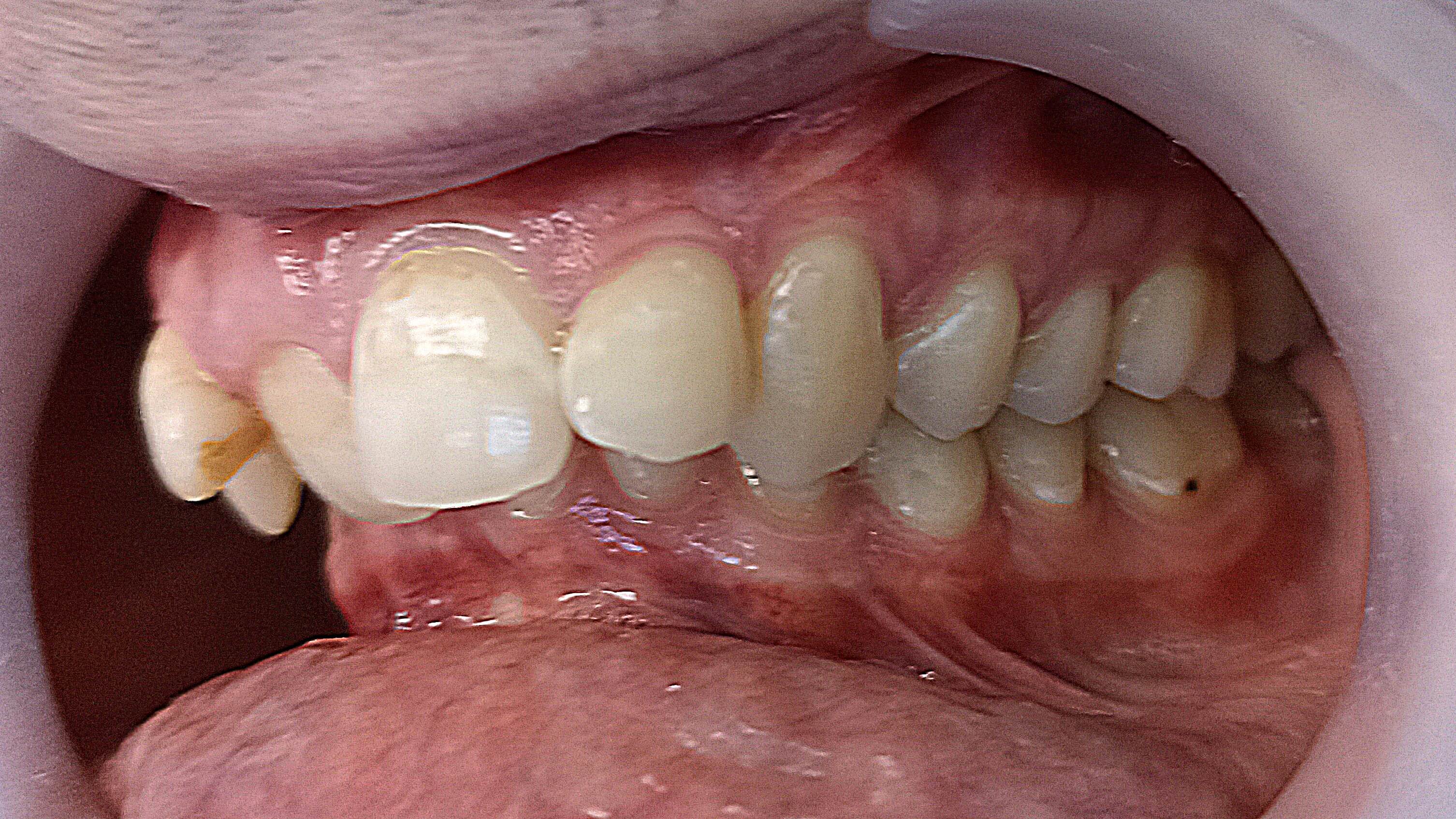
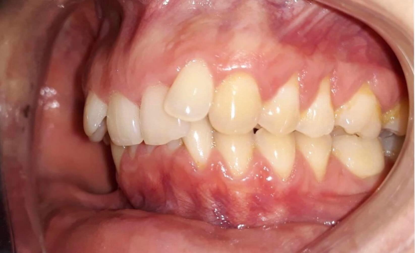
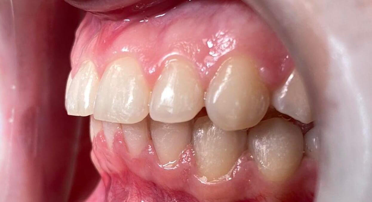
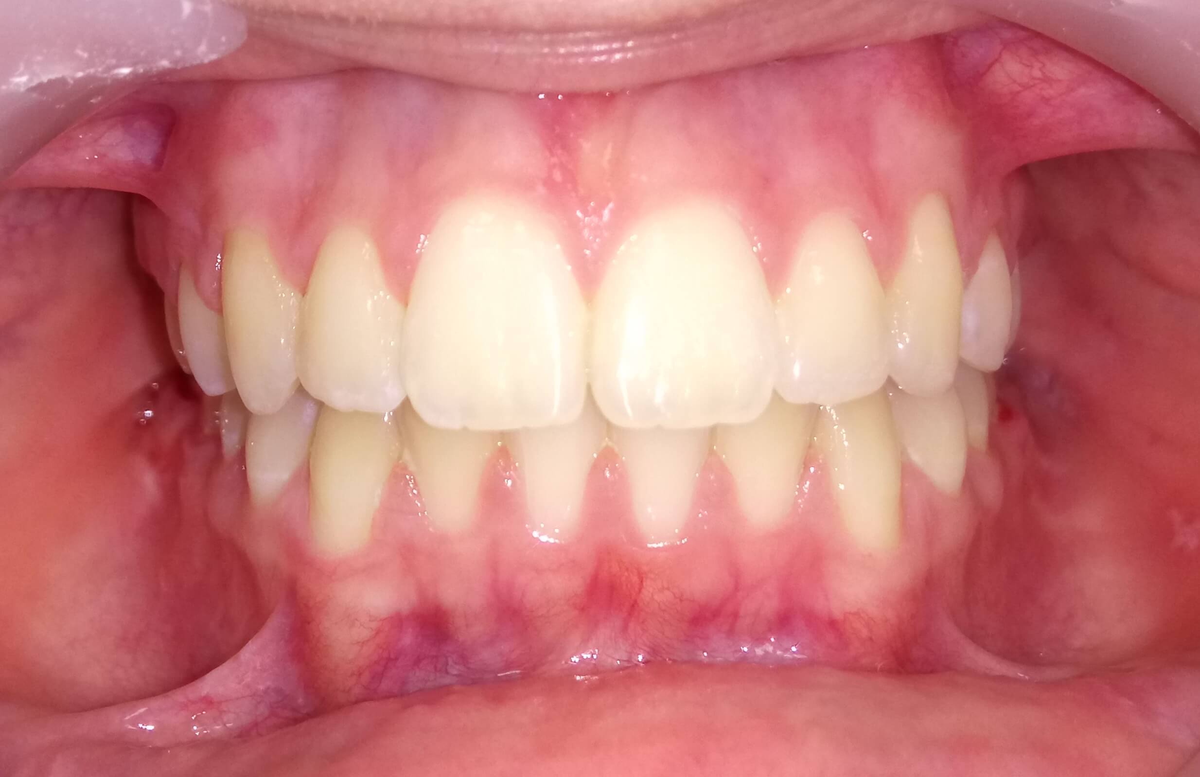
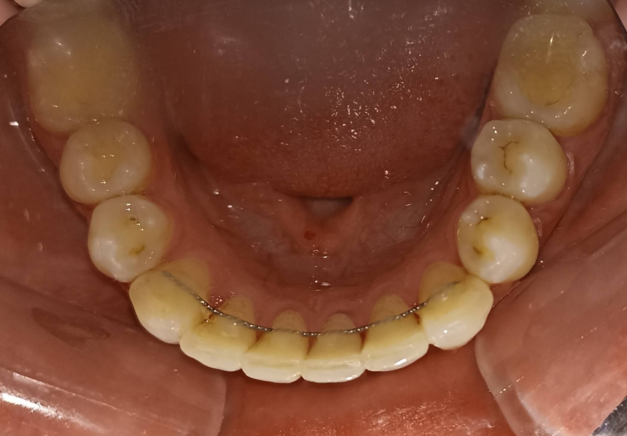
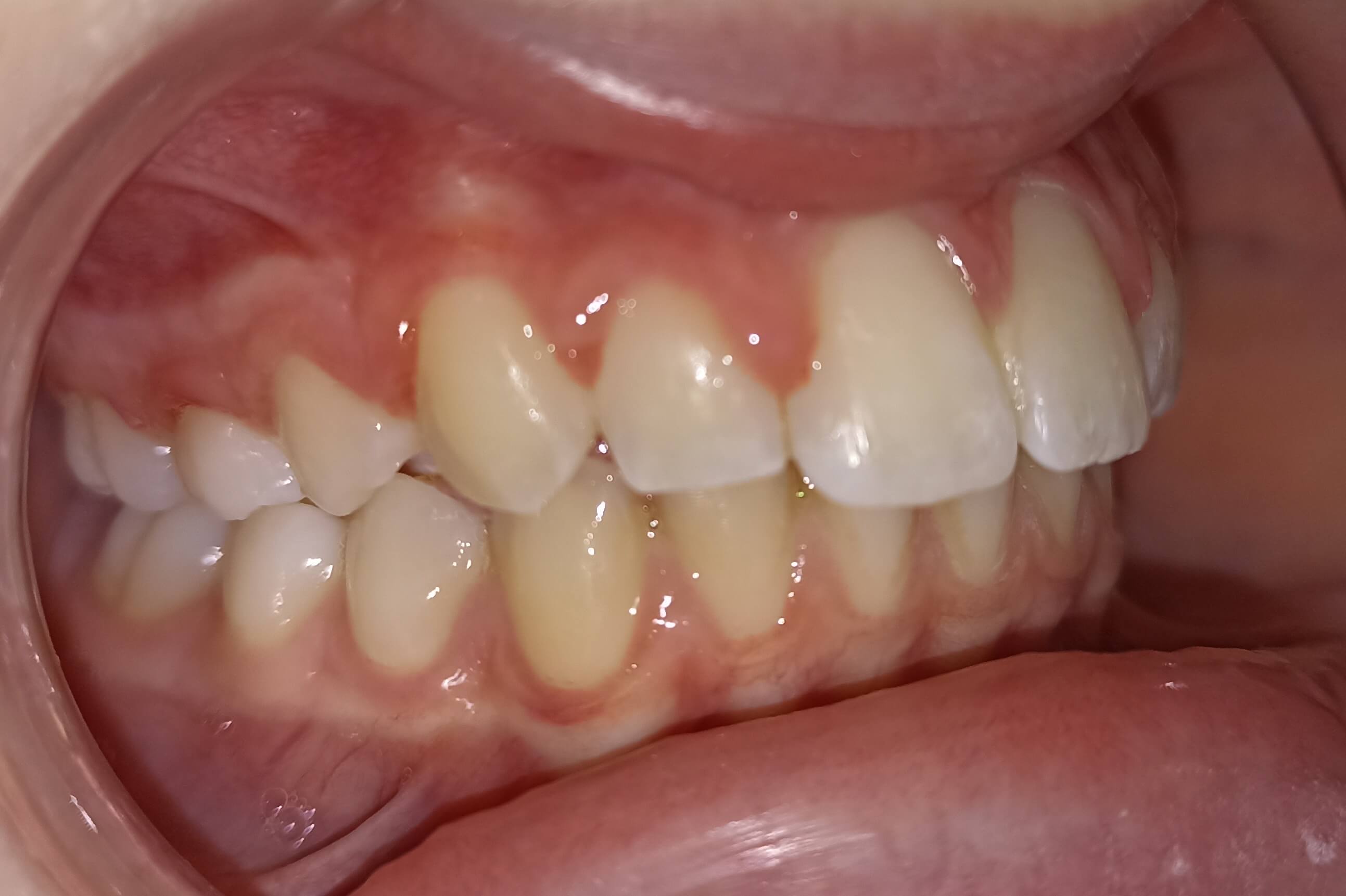
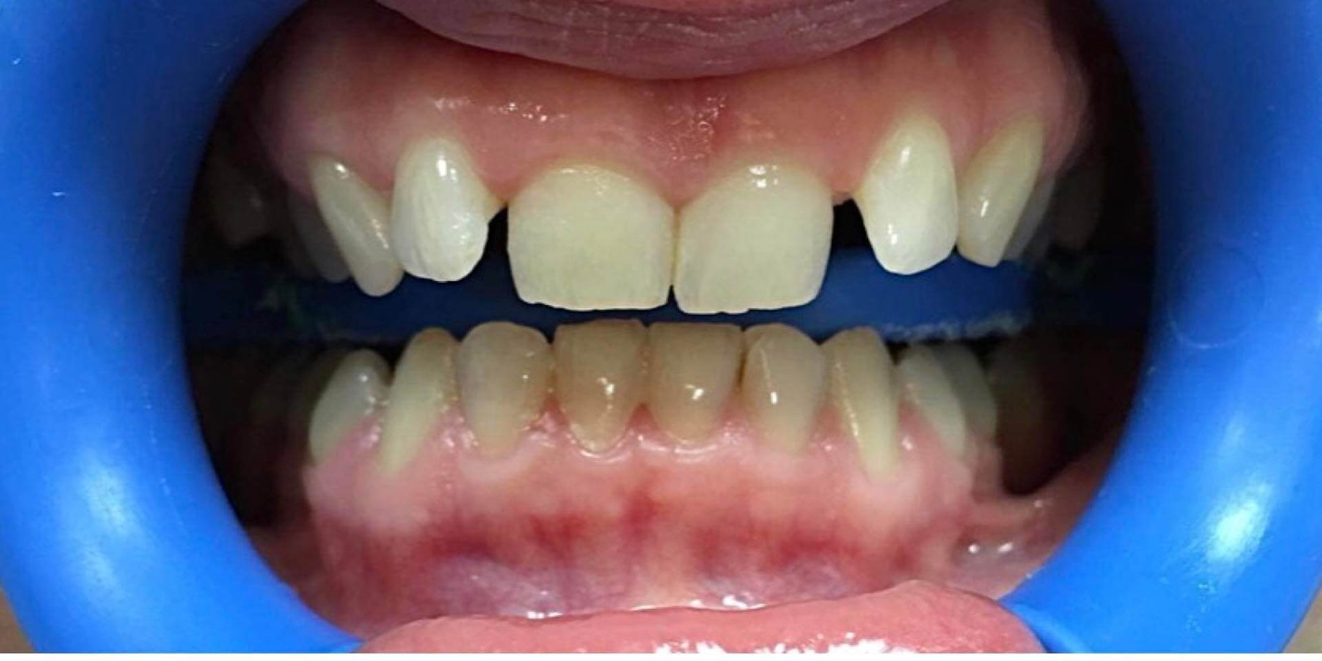
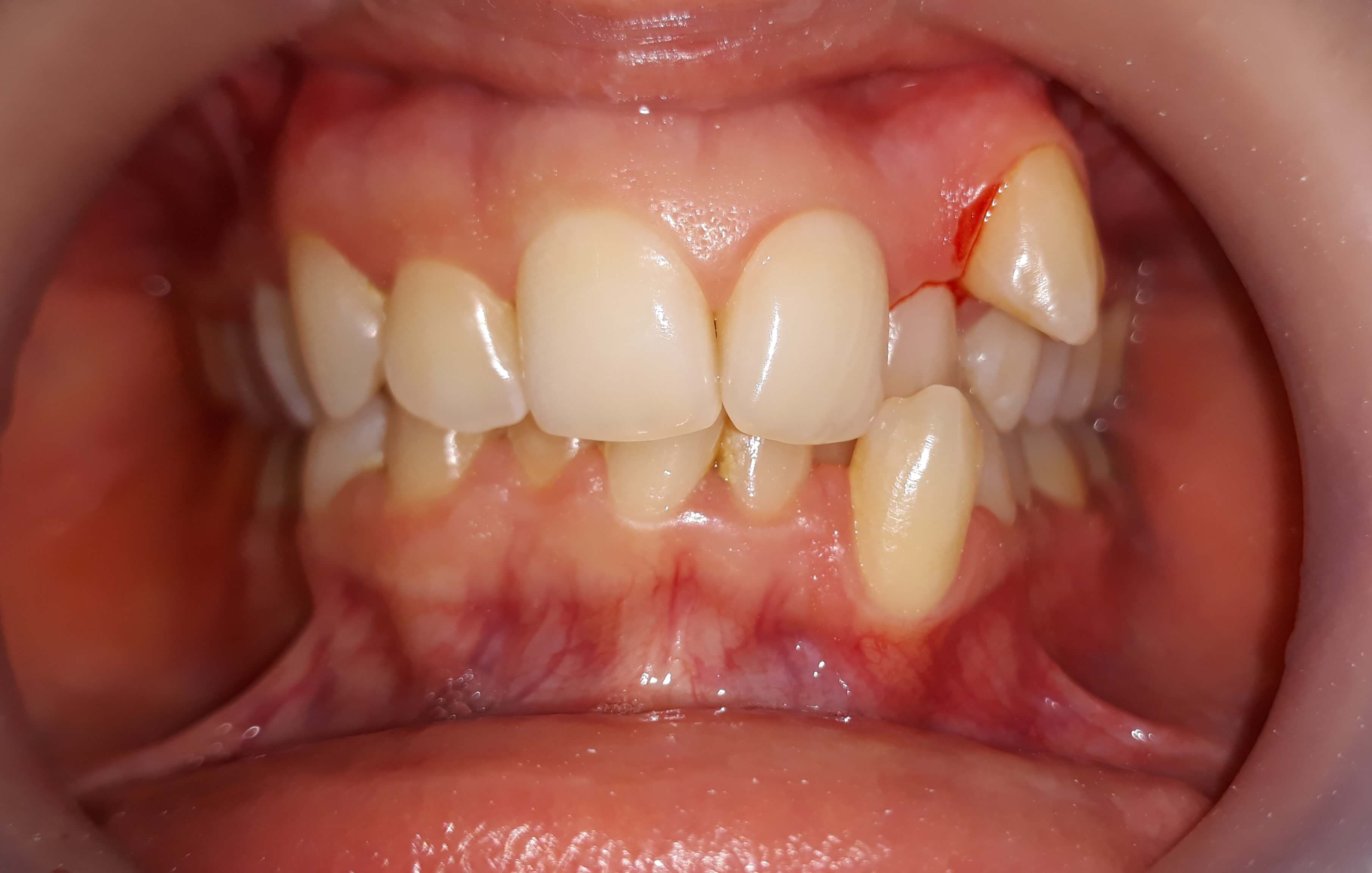
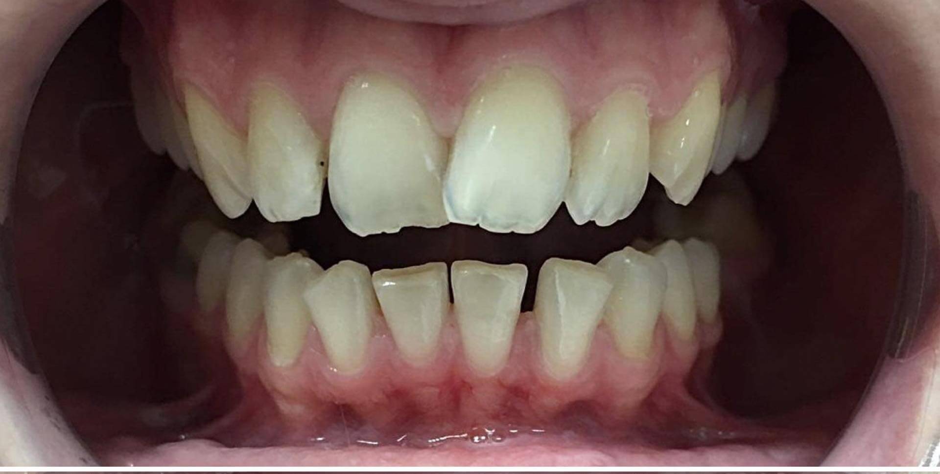
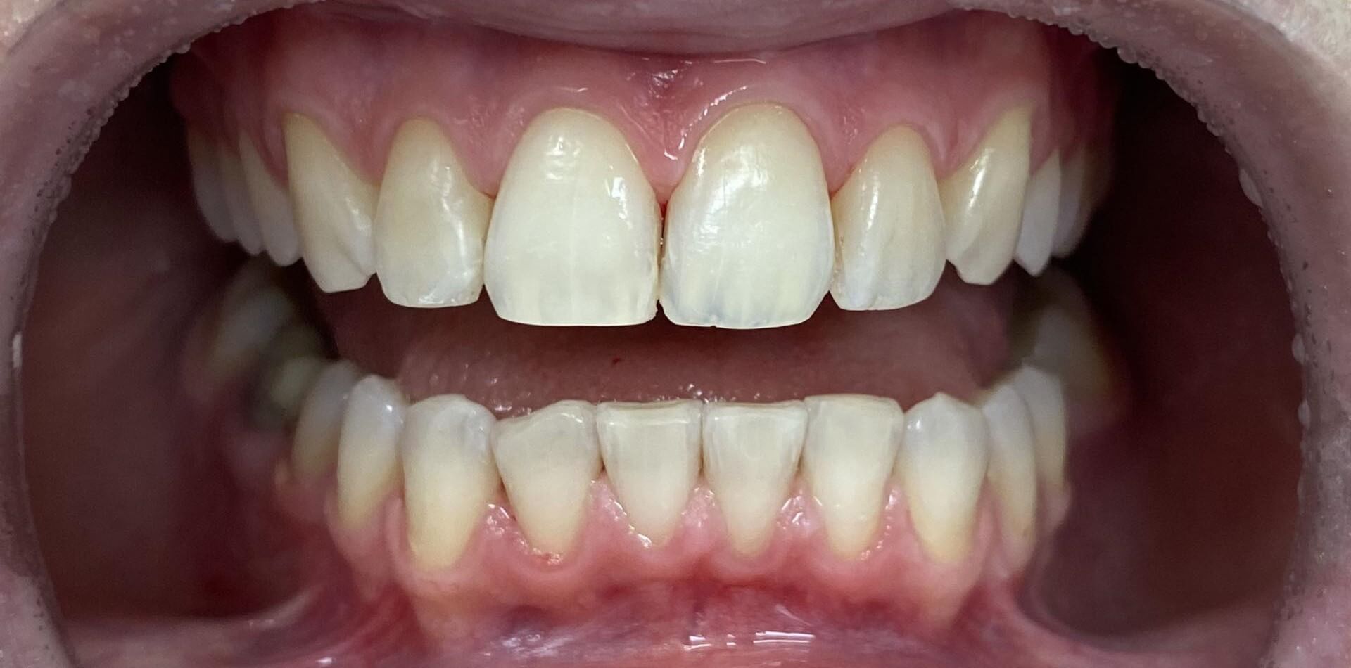
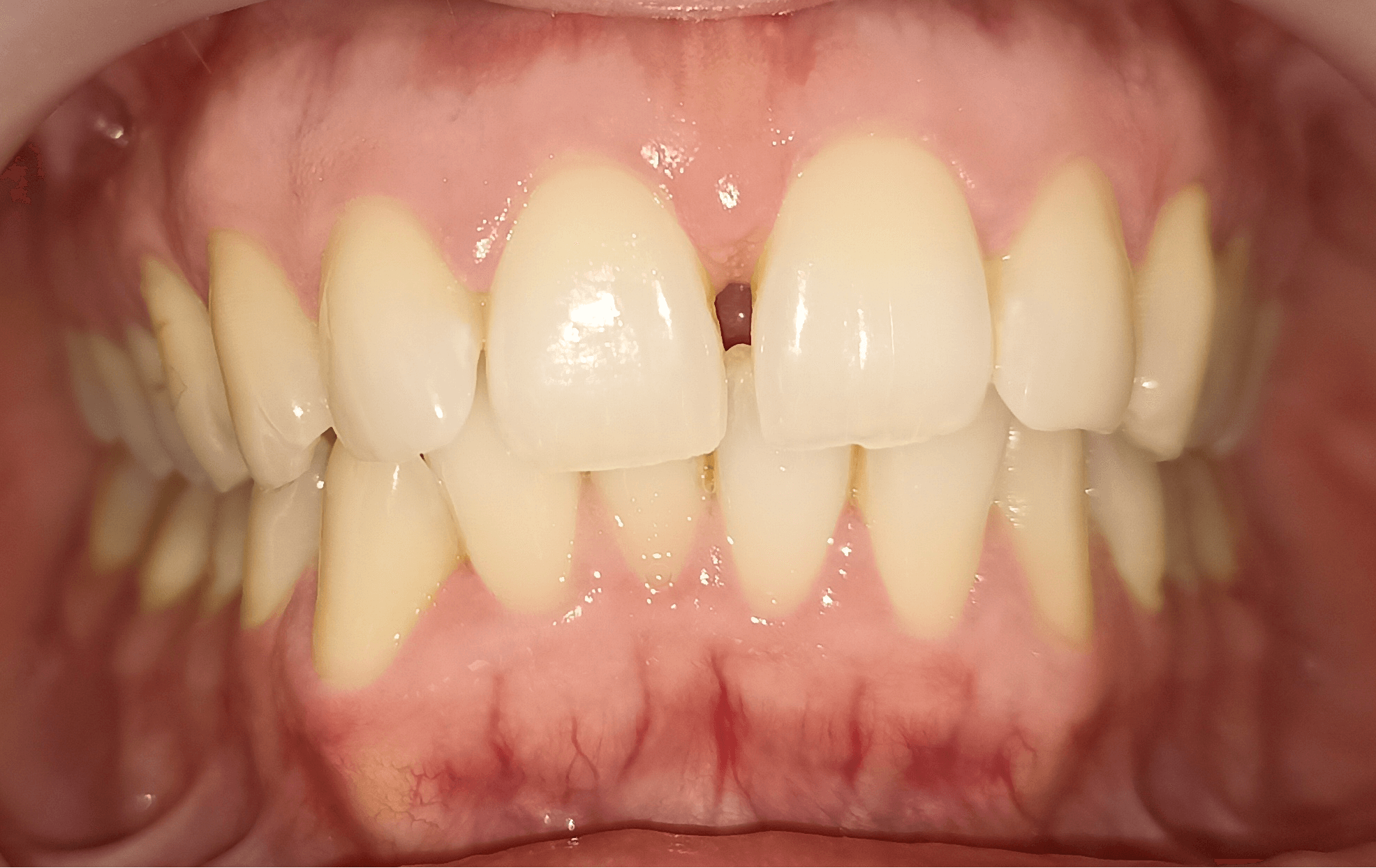
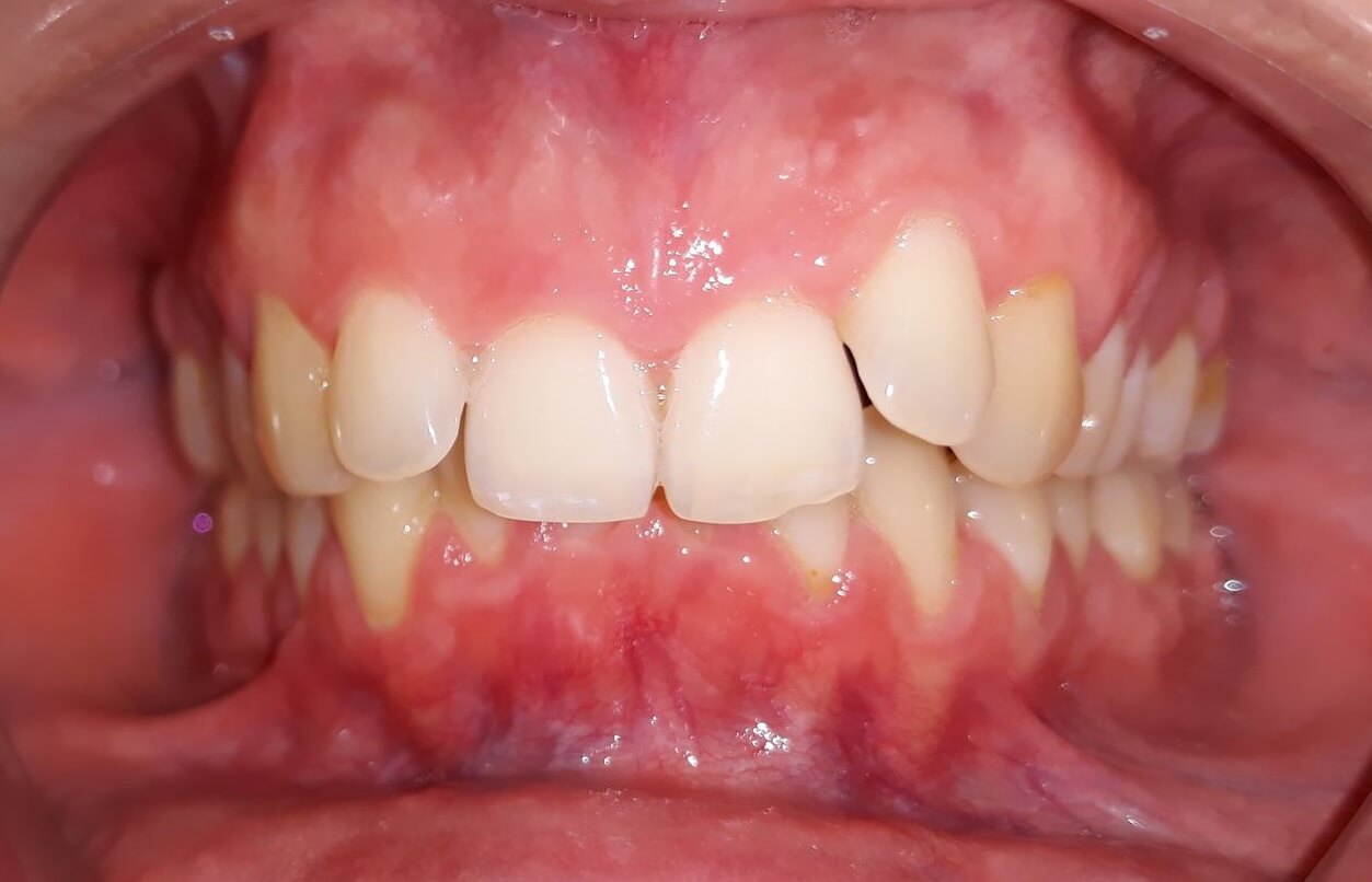
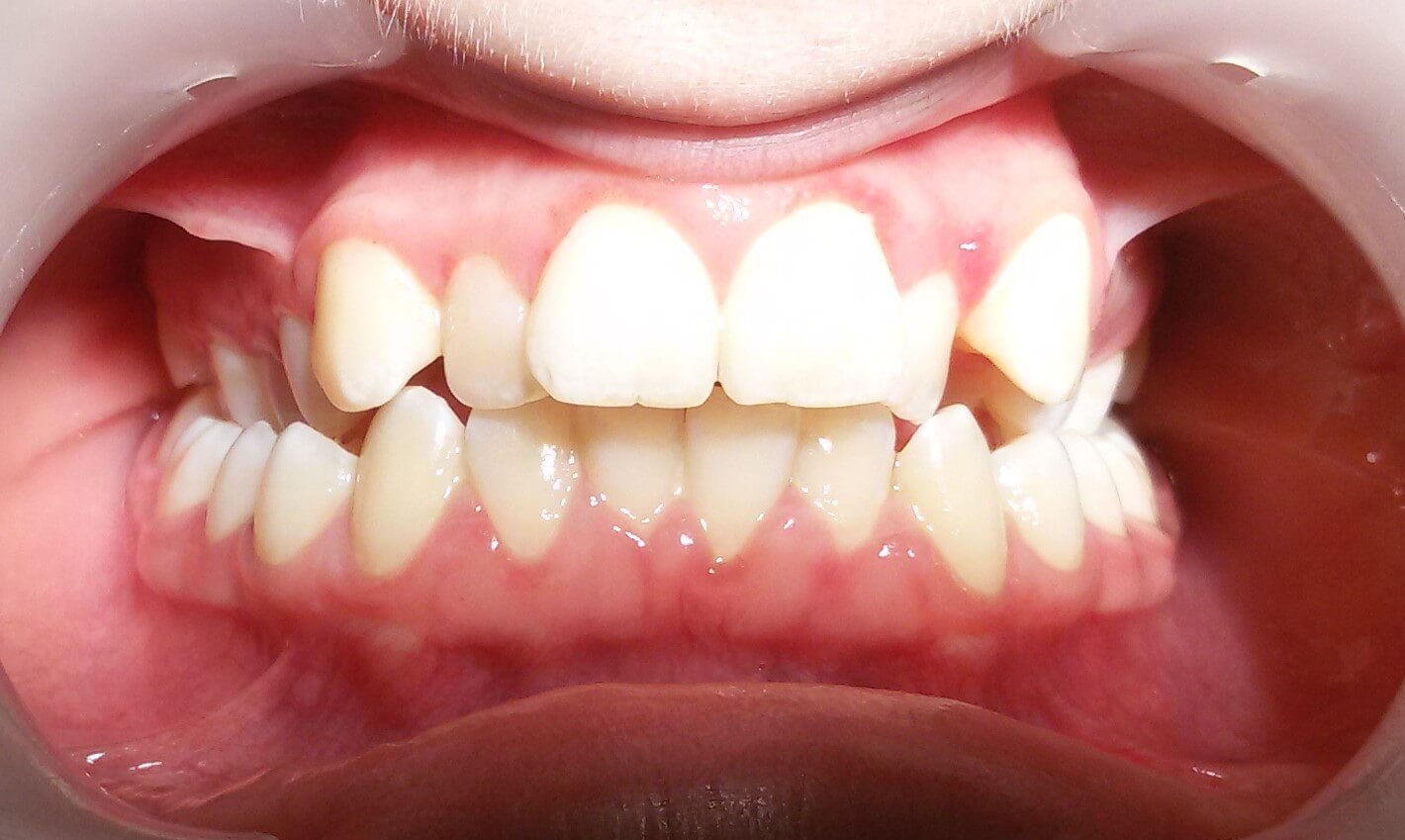
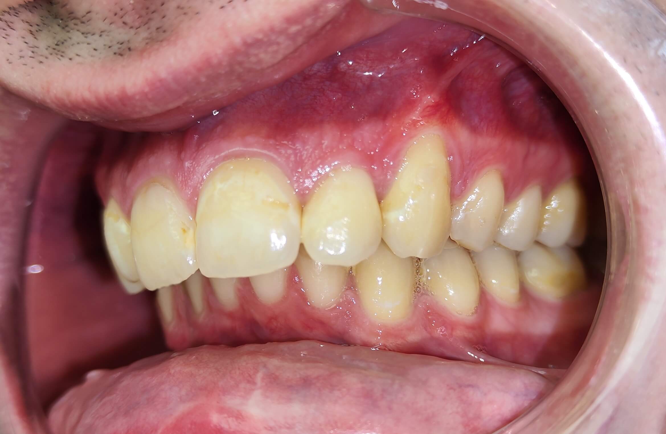
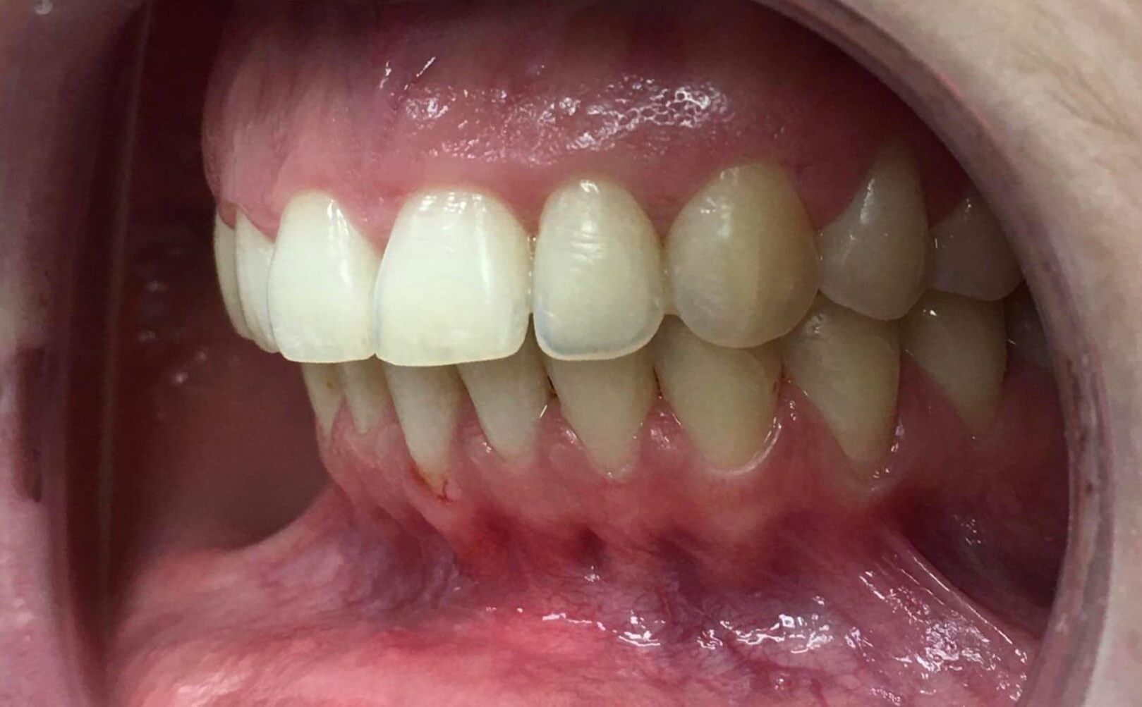
Látványos előtte-utána képeken Te is meggyőződhetsz a fogszabályozó kezelések hatékonyságáról.
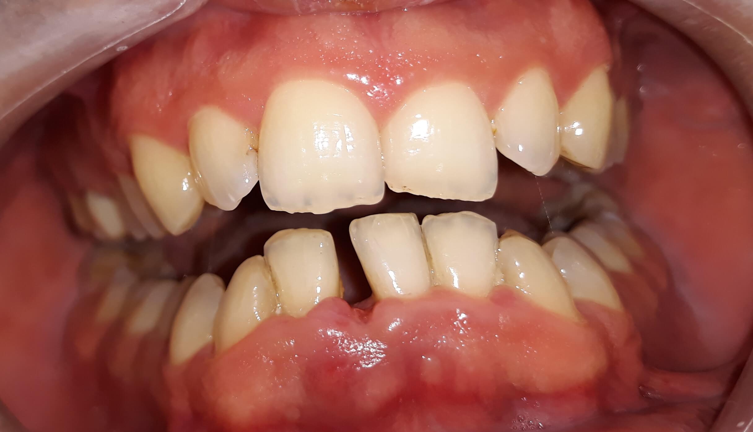
Húzd el a csúszkát és nézd meg a végeredményt!
- önligírozó porcelán fogszabályozó
- klasszikus fém fogszabályozó
- klasszikus fém fogszabályozó
- láthatatlan fogszabályozó
- klasszikus porcelán fogszabályozó
- önligírozó porcelán fogszabályozó
- h5 Pitts fogszabályozó
- önligírozó fém fogszabályozó
- felső porcelán fogszabályozó
- önligírozó fém fogszabályozó
- láthatatlan fogszabályozó
- láthatatlan fogszabályozó
- láthatatlan fogszabályozó
- láthatatlan fogszabályozó
- önligírozó porcelán fogszabályozó
- önligírozó porcelán fogszabályozó
- önligírozó porcelán fogszabályozó
- klasszikus fém fogszabályozó
- klasszikus porcelán fogszabályozó
- klasszikus porcelán fogszabályozó
- önligírozó porcelán fogszabályozó
- klasszikus fém fogszabályozó
- önligírozó porcelán fogszabályozó
A Doktornő precízen dolgozik, nagyon magas szintű szaktudással.
Jó szívvel ajánlom mindenkinek, annak is, aki hozzám hasonlóan felnőtt fejjel vágna bele a fogszabályozásba.
Minden kérdésre türelmesen, alaposan válaszol, pontos tájékoztatást nyújt, nem utolsó sorban pedig a kezelések is mindig oldott, nyugodt hangulatban telnek nála.
Szívből ajánlom Bogi Doktornőt! Nagyon lelkiismeretes, profi és gyors! 1 év 3 hónap alatt csodálatos mosolyt varázsolt nekem, és a harapási problémáimat is tökéletesen megoldotta. Nagyon köszönöm
Mindenkinek nagyon jó szívvel ajánlom Bogit, csodálatosan kedves doktornő, nagyon precízen dolgozik, nagy szaktudással! Nagyon hálás vagyok, hogy az Ő kezei alatt lehettem a fogszabályzásom során
A Doktornő mindig kedvesen és türelmesen tájékoztat mindenről, és készséggel válaszol a felmerülő kérdésekre. A fogszabályozási alkalmak mindig gördülékenyen mentek, jelentősebb csúszásokat sem tapasztaltam az időpontokban (mint az sok helyen gyakori).
Boglárka doktornő nagyon precíz, segítőkész, alapos! Érti és szereti a szakmáját! Előtte több helyen is jártam felmérni. Úgy érzem, hogy jól döntöttem 😊 (Nagyon fontos, hogy a páciens is legyen együttműködő: fogselyem, napi többszöri fogmosás, rendesen hordani a gumit)
Azt gondolom a végeredmény önmagáért beszél, és voltak már nagyon rossz tapasztalataim régebben a fogászat terén, viszont ezen a fogászaton még soha, tényleg nem tudok rosszat mondani róla, mindenkinek csak ajánlani tudom, ha egy valóban magas szintű ellátást szeretne kapni.
Eddig csak csendes megfigyelő és sorstárs voltam. Most viszont szeretném megosztani az eredményem mert elmondhatatlanul boldog vagyok és remélem az én “történetem” is erőt ad majd mindenkinek. Sokat gúnyoltak és bántottak a fogaim miatt de már ez nem történhet meg. Köszönöm: Dr.Hermann Boglárka
Dr Hermann Boglárkához járok. Nagyon ügyes, kedves, szívből ajánlom!
13. kerületben Dr Hermann Boglárka. Már egy éve járok hozzá és tökéletes lett a fogsorom, lassan le is kerül a fogszabim. Csak ajánlani tudom….
Nagyon korrekt, ügyes, cuki, szívből ajánlom!
Jó szívvel ajánlom a doktornőt, szakmailag, emberileg is!
A fogszabályozásnak van felső korhatára?
Nincs. A fogak idősebb pácienseknél is mozgathatóak, a korral azonban a mozgás sebessége lassul. A modern rendszerekkel ez a probléma viszont kiküszöbölhető, mivel lényegesen gyorsabban lehet velük haladni.
Éjszakai fogszabályozót kaphatnak felnőttek?
Az éjszakai fogszabályozó nem a fogak testes mozgatására, inkább az állcsontok korrekciójára való. A felnőtt korban szükséges fogmozgatások már nem valósítható meg éjszakai készülékkel.
Mi a fogszabályzók működési elve?
Igen egyszerű alapelv szerint működnek a fogszabályzók. A fogakat úgy egyenesítik ki, hogy nyomást fejtenek ki azok bizonyos pontjain. A fogakra ragasztott brackett, vagy a felpattintott sin közvetíti az erőt, ami mindig pontosan adagolt és maximalizát, a gyors és biztonságos haladás érdekében.
Miért kell fogat húzni a fogszabályozáshoz?
Régebben számos alkalommal húztak fogat, hogy a nagyon torlódott és szűk fogívben helyet teremtsenek. Azonban ennek számos negatív következménye lett, amellett, hogy egészséges fogakat vesztett a páciens. A kialakult hely túl soknak bizonyult, bezárhatatlan rések maradtak a fogsorban, ill. a felső ajak beljebb húzódott sok esetben így a páciens profilja előnytelenül változott, öregesebb lett.
A mai modern rendszerekkel a foghúzásos esetek már nagyon-nagyon ritkán fordulnak elő, csakis akkor, ha a páciens profilját előnyösen változtatják meg.
Bölcsességfog húzásra mindenképpen szükség van a fogszabályozáshoz?
Nem minden esetben szükséges eltávolítani a 8. fogat (bölcsességfogat). A kezelési tervhez szükséges panorámaröntgen felvételen látható a fog pozíciója. Amennyiben dőlt, beleütközik az előtte lévő fogba, nem tud előtörni vagy panaszt okoz, mert nincs elég helye a fogívben, ilyen az esetekben szükséges megszabadulni tőle.
Változhat a fogszabályozás ára a kezelés során?
Nem. A kezelési tervben rögzített ár érvényes végig a folyamat során.
Mire kell odafigyelni az étkezésnél, ha fogszabályzót viselünk?
Nem kell lemondani semmilyen ételről, de a kemény gyümölcsöket és csonthéjasokat csak nagyon óvatosan, hátul az őrlő fogakkal szabad rágni. Elöl a metszőkkel beleharapni kemény ételekbe nem szabad, mert leeshetnek a bracketek. A rágógumi nagyon nehezen szedhető ki a fogszabályozóból, így nem ajánlott.
Fáj-e a kivehető/éjszakai fogszabályozó hordása?
Az éjszakai készülék tökéletesen passzol a fogsorra, és a szájpadlásra. Nem töri fel az ínyt és a nyelvet így nem fáj a hordása. Működése közben a fogak mozgása érezhető, főleg reggelente, de ez nem fájdalmas érzés.
Le lehet nyelni véletlenül az éjszakai fogszabályozót?
Méretüknél fogva lehetetlen lenyelni a készülékeket. Ha éjszaka véletlenül leesnek, akkor sem történhet félrenyelős baleset.
Hogy néz ki egy éjszakai fogszabályozó?
A trainerek fiús és lányos színben is készülnek, ezek kényelmes, puha szilikon anyagúak. Az akrilát lemezes készülékeket több színben is lehet kérni, figurákkal és akár csillámokkal díszítve is.
Fedezd fel, hogyan varázsolhatjuk tökéletessé a mosolyodat. Nincsenek rejtett költségek, és minden kezelést személyre szabottan Neked tervezem, hogy tisztán láthasd, hogyan érheted el az egészséges, magabiztos mosolyt.
Megnézem az árakat